DNN 기반 완전 자동 뇌 종양 분할 방법( MRI 이미지 교모세포종)
- 지역적 특징과 global한 문맥적 특징을 동시에 활용
- 최종 레이어: 완전 연결된 레이어의 합성곱 구현을 사용
- 2단계 훈련 절차

CNN 합성곱 신경망 접근법
데이터셋
- 각 2D 축 이미지(슬라이스)를 순차적으로 처리
- 각 픽셀은 T1, T2, T1C, FLAIR과 같은 서로 다른 이미지 방식에 연결
1. 커널(필터) 합성곱

X: 입력 채널
Ws: 하위 커널
2. 비선형 활성화 함수(Maxout 비선형성)
공간 위치에 대해 특징 맵 O에서 최대값을 취함

3. Max pooling: 각 특징 map 내의 서브 윈도우에서 최대 특징 값

마지막 합성곱 레이어를 합성곱 출력 레이어에 연결->소프트맥스 비선형성->레이블에 대한 다항 분포로 정규화
TwoPathCNN

Two pathway 아키텍처 - 픽셀 레이블 예측이 두 가지 측면에 의해 영향을 받음
- 7×7 receptive 영역 (local pathway): 주변 지역의 시각적 세부 사항
- 13×13 receptive 영역 (global pathway): 뇌에서 어느 위치에 있는지( 문맥)
Cascaded architectures
각 분할 레이블을 서로 독립적으로 예측-> CNN의 효율성을 활용하면서도 분할에서 인접 레이블 간의 의존성을 더 직접적으로 모델링

- Input concatenation - InputCascadeCNN
- 첫 번째 CNN의 출력을 두 번째 CNN에 직접 입력으로 제공
- Local pathway concatenation - LocalCascadeCNN
- 지역 경로에서 한 레이어를 더 진행하여, 두 번째 CNN의 첫 번째 숨겨진 레이어와 연결을 수행
- Pre-output concatenation - MFCascadeCNN
- 두 번째 CNN의 끝으로 이동하여 출력 레이어 바로 전에 연결을 수행
두단계 훈련: 뇌 종양 분할은 매우 데이터 불균형 문제
- 첫 번째 단계: 모든 레이블이 동등한 확률을 가지도록 패치 데이터셋을 구성
- 두 번째 단계: 불균형적인 특성을 고려하여 출력 레이어만 재훈련
캐스케이드 아키텍처 훈련
- TwoPathCNN 훈련: 두 단계 확률적 경사 하강법 절차
- TwoPathCNN의 파라미터를 고정
- 캐스케이드 아키텍처에 포함, 나머지 파라미터를 유사한 절차를 사용하여 훈련
전처리
- 상위 1%의 가장 높은 값과 낮은 값을 제거
- T1과 T1C 모드에 대해 N4ITK 바이어스 보정(불균형한 신호를 고쳐주는 방법)
- 각 입력 채널 내에서 해당 채널의 평균을 빼고 표준 편차로 나누어 정규화
후처리
- 뇌 주변의 밝은 모서리로 인해 예측에서 나타날 수 있는 평평한 블롭을 제거하는 간단한 연결 요소 기반 방법을 구현
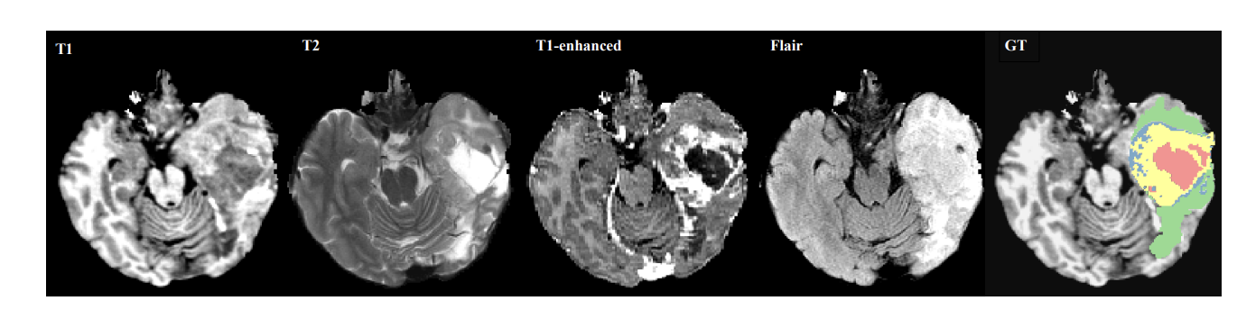
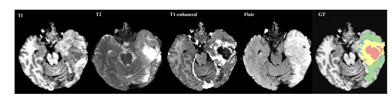
데이터셋
- 각 T1, T1C, T2, FLAIR 네 가지 방식이 coregister 된 상태로 존재
- 5개의 분할 레이블(비종양, 괴사(빨강), 부종(초록) , 비대조 종양(파랑), 대조 종양(노랑))

종양영역 :
a) complete tumor region :모든 4개의 종양 구조 포함
b) core tumor region : 부종 제외한 모든 종양 구조 포함
c) enhancing tumor region : 대조된 종양 구조 포함
평가: 다이스(Dice), 민감도(Sensitivity) 및 특이도(Specificity)


- 하나의 훈련 단계만 적용된 단일 경로 CNN은 거의 모든 영역에서 가장 낮은 점수를 기록
- 지역 경로와 전역 경로를 공동 훈련함으로써 두 경로가 서로 적응할 수 있도록 허용
- AverageCNN: 지역 경로와 전역 경로의 출력을 평균화한 모델 (GlobalPathCNN성능 매우 낮음)


- 더 현실적인 레이블 분포에서 학습
- 하나의 훈련 단계만으로 훈련된 모델이 생성하는 false positives를 제거
- 전역적 문맥적 특징과 지역적 세부 특징을 동시에 학습
- MFCascadeCNN: 클래스 간 경계가 더 부드럽게 나타남
- LocalCascadeCNN: 전체 종양 범주에서 거짓 긍정 예시를 더 적게 발생하나 다른 범주에서는 성능이 개선되지 않음
- InputCascadeCNN: 가장 좋은 성능. (Dice 측정을 개선)

- Tumor Core 범주에서 다른 방법들을 능가, 다른 범주에서도 경쟁력 있는 결과
- 예측 시간: 25초( Tustison의 방법보다 200배 이상 빠름)